Dr. Israel Ismaj

a dentist from La Jolla, California

My experience in the field of implantology dates back to 1986, when I was trained by the renowned Professor Per-Ingvar Brånemark at the University of Washington in Seattle. Since then, I have tirelessly worked to improve my skills and knowledge in this constantly evolving field.

Dr. Israel Ismaj

Throughout my career, I have had the opportunity to achieve some significant milestones.

One of the highlights was when I delivered the first Highwater Bridge in San Diego, California in 1986. This achievement demonstrated not only my abilities as a dentist but also my ability to be innovative and adopt new technologies for the benefit of my patients. In summary, my career in dentistry has been a rewarding experience, filled with significant achievements. Receiving the recognition as AO Diplomate in Restorative Dentistry is a true honor, it represents one of the highest standards of excellence. I am grateful for the recognition of my work and practice in implant dentistry. I am excited to continue learning and growing in my profession and providing the best possible care to my patients.

SERVICES

Dental Implants

Have you lost one or more teeth? Nowadays, dentistry has made enormous strides, and with the aim of being more conservative and improving aesthetics, dental implants are a solution." Introduction: The loss of one or more teeth can have a significant impact on the appearance and function of the mouth. Fortunately, dentistry has made significant advances, and highly effective solutions such as dental implants are available today. In addition to being an aesthetic option, dental implants are also a more conservative option compared to other tooth replacement procedures. Being a permanent solution, dental implants have become one of the most popular and effective options for replacing missing teeth. In summary, dental implants are a modern and effective solution that can restore the functionality and aesthetics of your smile.

Rosthesis Over Implants

Once the dental implant is inserted and osseointegrated, it needs to be connected to the exterior in a way that allows it to fulfill the functions for which it was implanted: aesthetics, chewing, and speech. Dental implants can replace anything from a single tooth to all teeth in the mouth. Generally, implant-supported prostheses are fixed in place so that the patient cannot remove them. However, there are also semi-fixed prostheses that can be removed by the patient.

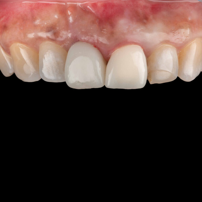
Single Crown Over Implant

The individual crown on implants is an effective option for replacing a missing tooth. This solution involves the placement of a dental implant that is then covered with a customized crown. In this way, the function and aesthetics of the missing tooth are safely and durably restored. The individual crown on implants offers a more natural and comfortable alternative compared to other types of dental prostheses.

Dentures Over Implants

Fixed prostheses on implants are a solution to maintain a complete denture fixed or semi-fixed in place. This type of prosthesis is attached to dental implants, which provide stability and support for the denture. Fixed prostheses on implants offer a more comfortable and natural-looking alternative to traditional dentures, allowing patients to restore their ability to eat, speak, and smile with confidence.

Aesthetic

Aesthetic dentistry is a field of expertise that focuses on enhancing the appearance and harmony of the mouth and face. It aims to correct or perfect various aspects such as the color, shape, size, position, and function of the teeth in order to achieve an ideal, personalized smile for each patient. Some of the treatments available in esthetic dentistry include smile design, veneers, crowns and implants.

Promotion

We have an unbeatable promotion for you! Are you looking to restore your smile and the functionality of your teeth with quality materials?

We have the perfect solution for you!

$ 4000
  • Included
  • Dental implant
  • Abutment and crown

In our dental clinic, we work with the best materials to ensure that our patients receive highquality and long-lasting care. We use state-of-the-art technology that helps guarantee maximum effectiveness and comfort. With our dental implants, you will regain the confidence to eat, speak, and smile comfortably, and with quality materials that will guarantee a long-lasting solution. So don’t wait any longer and take advantage of our unique offer to restore your smile and the functionality of your teeth. Contact us now to schedule a consultation and start the dental implant process. We are waiting for you!

SUCCESS STORIES

Single Tooth Over Implant
single-tooth-over-implant-before single-tooth-over-implant-after
Full Arch Over Implants (All on X)
FULL-ARCH-OVER-IMPLANTS-All-on-X-before FULL-ARCH-OVER-IMPLANTS-All-on-X-after

Make Us Your New Dental Home

Ready to work with the team at Landmark Dental Arts?
Contact our office at (858) 571-5065 or book online below?

Scroll to Top