Top 4 Symptoms of Tooth Decay

tooth decay treatment in Kearny Mesa

What are the signs of tooth decay (cavities)? Regardless of the size of your cavity, toothaches and visible dark spots aren’t a given. One of the best options for tooth decay treatment in Kearny Mesa is early diagnosis and intervention. In other words, the sooner we can spot your cavity and treat it, the better it is for your smile.

If you’re in-between checkups with our dentist in Kearny Mesa, here are some common signs and symptoms to be on the lookout for:

1. Sensitivity to Sweets

Sweet sensitivity is one of the most obvious signs of cavities in teeth. Even if you don’t eat candy and pass on the usual dessert, you can still experience sweet sensitivity. Sweet ingredients are in everything from diet soda and coffee creamer to fruit juice and sports drinks. If you feel a zing when it comes into contact with your tooth, it’s likely a cavity.

2. Food or Floss Getting Caught

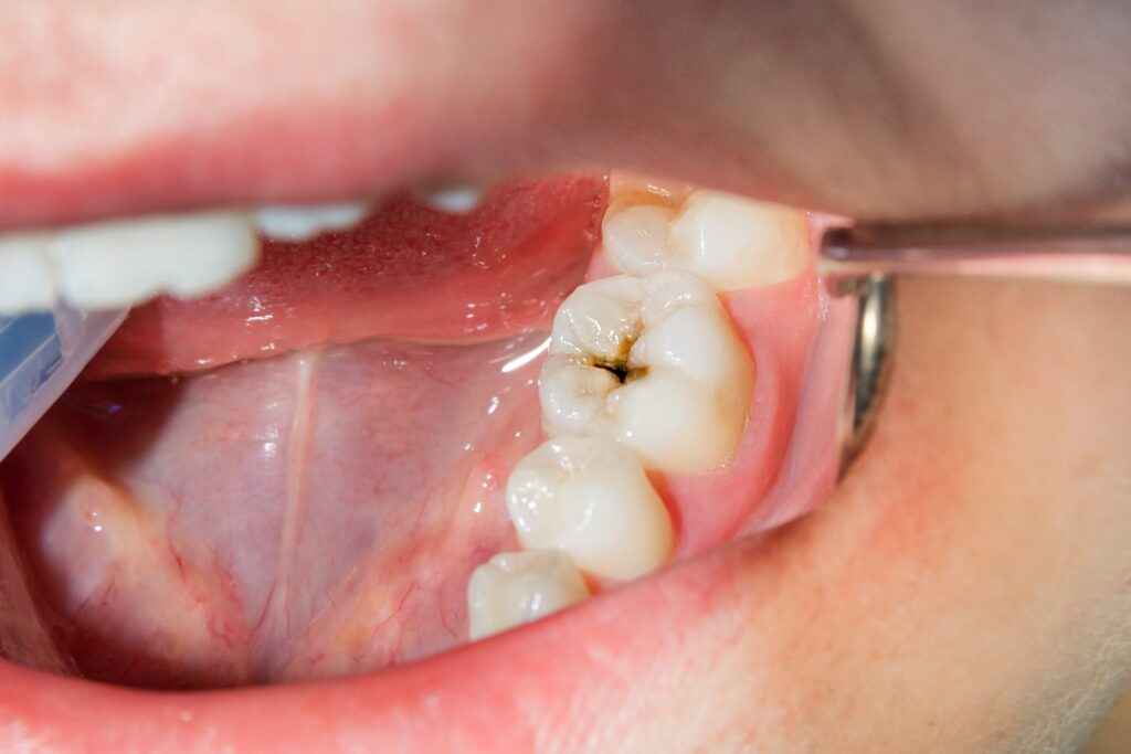
Tooth decay creates a physical hole inside of your tooth, hence why we tend to call it “cavities.” The edges around each cavity are typically thin and rough. If you were to run your tooth over it, the area would feel sharp and you might even be able to tell there’s a cavity.

But for tooth decay between teeth, you might not be able to see or feel it with your tongue. However, there’s a good chance that food will get caught in that space every time you eat. Especially meat or fibrous types of textures. If you floss it out, the floss may shred or even break in two because of the sharp edges around the cavity.

3. A Funny Feeling Around a Specific Tooth

 Sometimes one of the most obvious symptoms of a cavity is easy to miss. When something feels “off” about a tooth, you might not even be able to tell exactly where it’s coming from. Even the general part of your mouth may be hard to identify.

However, if something feels funny whenever you’re chewing or drinking, take note. It could be that you have a cavity or even a cracked tooth that isn’t visible. Teeth are highly sensitive, so even the smallest of cavities can stand out whenever the area is irritated.

4. Leaky, Old Fillings

It might be harder to identify symptoms of tooth decay under fillings or crowns, but those areas can get cavities too. Especially if the restoration has been there for a while.

If you have a leaky filling, you might notice an odd sensation whenever you’re chewing on that particular tooth. It could be when you release pressure or a tender spot whenever you’re biting down on it. In either circumstance, it’s best to have us check the tooth before something cracks and causes a serious (and painful) emergency.

Treatment Options

What is the treatment of tooth decay, you ask? Depending on the location and size of your cavity, treatment will vary. Ideally, we want to isolate the decay while it’s in the outermost layer of your tooth enamel. In these instances, a small and minimally invasive white filling typically works best. If the cavity is underneath an older, larger restoration (such as a metal filling or crown) we will usually need to remove it, clean out the tooth, then place a new crown over the area. And unfortunately, if decay breaks through the tooth and spreads into the nerve, a root canal will be the only option left to avoid removing the tooth altogether.

 Visit Our Dentist in Kearny Mesa

 Landmark Dental offers gentle, quality cavity treatments for all ages. From small, minimally-invasive fillings to therapeutic root canals, we’re here to help you keep a smile on your face. If you think you have a cavity, don’t wait. It could spread to other teeth. Contact our office today to reserve an exam.

 

Scroll to Top